환한 미소를 

     위한 바른E 치아교정


         가지런한 치아와 자연스러운 

         미소를 되찾을 수 있습니다.






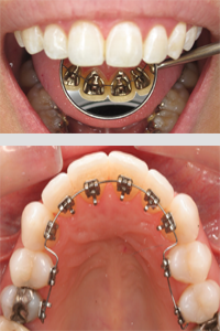
설측교정이란?

설측교정은 교정 장치가 잘 보이지 않도록 안쪽 치아면에 브라켓을 붙이는 교정입니다. 따라서 다른 사람이 모르게 교정을 진행할 수 있습니다. 설측교정은 대외 활동이 많으신 분, 승무원, 심미적으로 신경이 많이 쓰이신 분, 결혼을 앞두고 계신 분들이 선호하는 교정 장치이며 심미적이라는 단연 큰 장점과 진료 시 고도의 기술을 필요로 한다는 점으로 인해 일반 교정 치료에 비해 비교적 비용이 조금 더 비쌉니다. 교정 장치를 붙인 초기에는 음식 섭취가 약간 어려울 수 있지만 시간이 지나면 조금씩 적응해 나갈 수 있습니다.




환자 한 분 한 분께 맞춤형 치료 계획을 통해 만족스러운 치아 변화를 확인하실 수 있습니다.


 



위례바른e치과의원의 24년 이상의 교정 경력과 노하우로 세심한 치료가 가능합니다.





치과교정과전문의 및 박사 자격을 갖춘 대표원장이
직접 진료하며 대학병원 수준의 치료를 책임집니다.




01

미니설측 교정장치

미니설측 교정장치는 장치의 크기가 기존 설측교정장치보다 작고 이물감이 적습니다.


02

일반설측 교정장치

치아 안쪽에 장치를 붙여 겉으로는 전혀 보이지 않는 교정장치입니다. 겉으로 보이지 않아 심미적이지만 외부 노출 장치와 달리, 초기에 약간의 이물감과 발음장애가 일시적으로 있을 수 있습니다. 대부분의 설측교정 환자들은 교정장치에 적응이 되어 점차 이물감이 없어지며, 설치음(ㄷ,ㅌ,ㅅ)장애를 받지만 수 주 내에 개선됩니다.


03

인코그니토 교정장치

치아 하나하나에 맞춘 100% 개인 맞춤형 설측교정장치로 브라켓이 치아 표면에 완벽하게 일치합니다. 브라켓의 두께가 얇고 납작하여 이물감이 적어 편안하고 약 2주 정도 후에 발음이 자연스러워 집니다. 생체친화적 재질인 금(Gold)으로 만들어집니다.


04

콤비 교정장치

설측교정의 한 방법으로 눈에 잘 보이는 위쪽은 설측 교정장치로, 상대적으로 눈에 덜 보이는 아래쪽은 일반 순측 교정장치로 진행하게 됩니다. 설측 교정장치의 가장 큰 장점인 심미성과 순측교정장치의 장점인 비용절감을 동시에 가진 교정방법입니다.


05

투디(2D) 교정장치

투디(2D) 교정장치는 가장 얇은 설측교정장치로 돌출이나 심한 덧니 없이 부분적으로 울퉁불퉁한 앞니를 가진 환자에게 치아 손상없이 비교적 빠르게(2~6개월) 개선할 때 사용합니다. 투명교정장치를 함께 이용하면 보다 완벽한 치료결과를 얻을 수 있습니다.

교정 치료 시 주의사항

  • 고정식 교정장치를 장착하게 되면 2-3일 정도는 이가 뻐근하거나 시큰거릴 수 있습니다.

  • 뻐근함과 시큰거림은 이가 바른 위치로 움직이는 느낌이므로 너무 걱정하지 않으셔도 됩니다.

  • 질기거나 딱딱한 음식(껌, 엿, 캐러멜 등)을 드시게 되면 장치가 떨어질 수 있으니 되도록 피하시는 게 좋고, 식사를 하실 때 앞니로 물어뜯거나 베어 먹는 것은 피하시고 되도록 잘게 썰어 어금니로 씹어 드시길 바랍니다. 

  • 치아에 장치가 부착되어 있기 때문에 음식물이 잘 낍니다. 식사 후 올바른 칫솔질로 구강위생 상태를 청결히 유지해주는 과정은 매우 중요합니다.

  • 교정장치와 연결된 철사 끝에 입 안이 찔려 아프시거나, 장치가 떨어졌을 때에는 떨어진 장치를 챙겨서 방문하시면 됩니다.

  • 치아가 이동하는 과정 중에는 맨 끝 어금니쪽으로 연결된 철사가 뛰어나오면서 입 안쪽으로 찔리는 경우가 많습니다. 이럴 경우 본원을 방문하는게 좋습니다.
  • 교정치료를 통한 만족을 보다 빨리 얻기 위해서는 진료 약속 날짜를 잘 지켜주셔야 합니다.